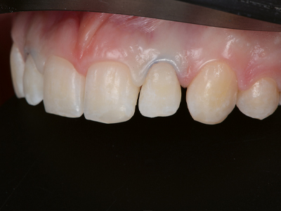
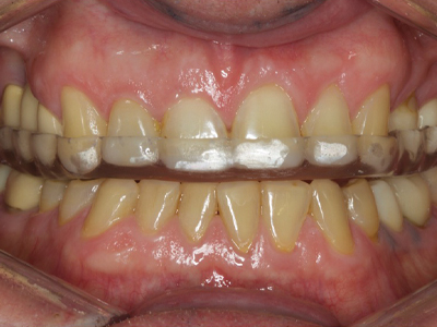
Modern Dentistry Media International Dentistry - Baltic Edition Vol. 3 No.1 International Dentistry - African Edition Vol. 15 No.6 | December 2025/January 2026 New Articles Andre W van ZylEssentials of basic implant dentistry Peet J. van der Vyver and Martin Vorster Identification and management of Radix Entomolaris Paul van ZylOcclusal bite splint therapy: Analog and Digital workflow in full occlusal coverage bite splints Andre W van ZylImportance of passive suturing in implant surgery Martin Vorster and Peet J. van der Vyver Non-vital bleaching for discoloured endodontically treated teeth Kostas Karagiannopoulos and Stefan Roozennterview: The aesthetic challenge: Direct or Indirect? Enhancing smiles with smart restorative choices Peet J. van der Vyver and Martin VorsterHow to manage C-Shaped canal configurations in mandibular molars Andre W van Zyl and Michael LazarevicSalvaging an incorrectly placed implant in a cost-effective way Peet J. van der Vyver, Nicoline Potgieter and Martin VorsterResin restoration of Class II cavity preparations on primary molars Willie F. P. van Heerden, Liam Robinson, Andre W. van Zyl and Wynand P. DreyerA clinical guide to pigmented oral lesions Willie F. P. van Heerden, Andre W. van Zyl and Wynand P. DreyerOral Cancer - A clinical update Johan Hartshorne and Hugo Johan KotzéUpdate on research and clinical guidelines in dentistry 2025: Vol 6